Pay Online
Dental Bonding In Greeley, CO

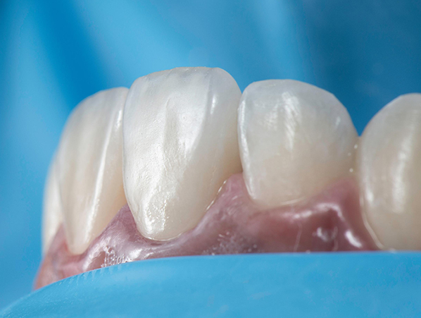
Dental bonding is a cosmetic procedure that can enhance your natural smile and improve imperfections. If your front teeth are slightly cracked, chipped, stained, or discolored, bonding may be recommended to boost your confidence in your smile. Bonding can last for approximately ten years before it may need to be replaced, making it a great alternative to other cosmetic options you may have considered in the past.
Why Is Dental Bonding Needed?
With its long-lasting effects, dental bonding is an excellent option for individuals seeking a noninvasive solution to enhance the appearance of their teeth. This procedure effectively conceals and repairs various imperfections and flaws located at the front of your smile. Some of the issues that bonding can successfully address and restore include:
- Gaps and spaces between teeth
- Chips and cracks
- Discoloration and staining
- Uneven teeth
Who is Dental Bonding for?
Dental bonding is a cosmetic option that is minimally invasive and typically does not require anesthesia. It is suitable for patients of all age groups and can address various dental issues. Our team will conduct an examination to assess the suitability and timing for dental bonding, considering your specific needs. As bonding has a long-lasting effect, many patients prefer this procedure over alternative options.
The Dental Bonding Procedure?
To begin the dental bonding process, we first match the color of your teeth with the composite material that will be used. Then, we gently file and roughen the tooth surface where the material will be applied. A bonding gel is carefully applied and rinsed off. The composite material is then placed over the tooth and smoothed out. To ensure its stability, we use a bright light to cure the composite. Any necessary adjustments are made before you leave our office. Dental bonding has the power to completely transform your smile, seamlessly blending in so that it becomes virtually undetectable. If you believe dental bonding could benefit you, don't hesitate to contact us today. We are here to address any inquiries you may have.
Schedule Your Restorative Dentistry Consultation
Does your smile need repair from damage, decay, or lost teeth? At Luker Dental, our team believes in treating each patient with exceptional care to help them achieve the smile they deserve. Schedule your restorative dentistry consultation to have your questions answered by our skilled team!

