Pay Online
Our Smile Stories
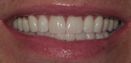
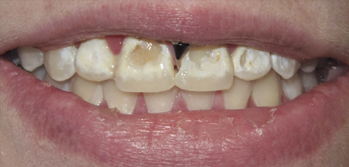
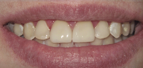
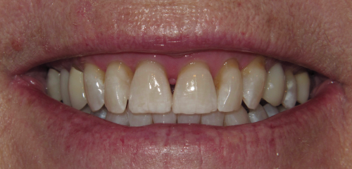
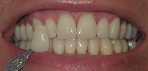
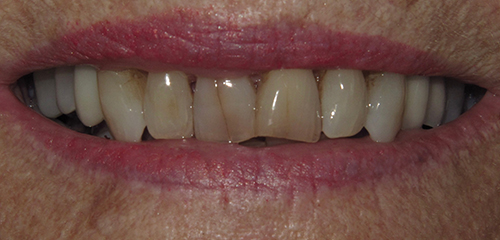
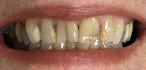
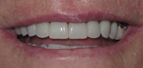
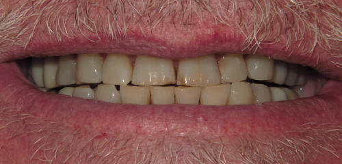
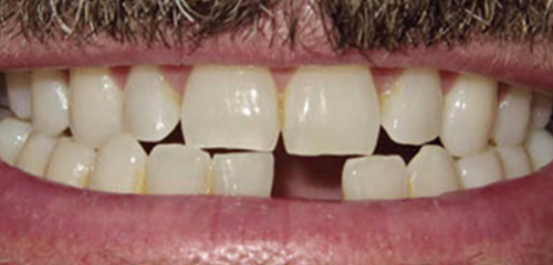
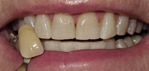
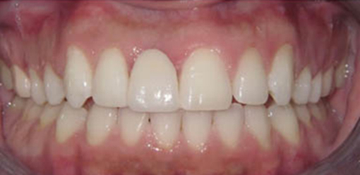
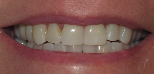
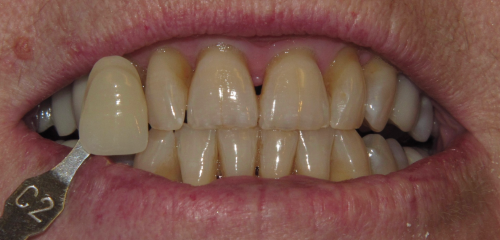
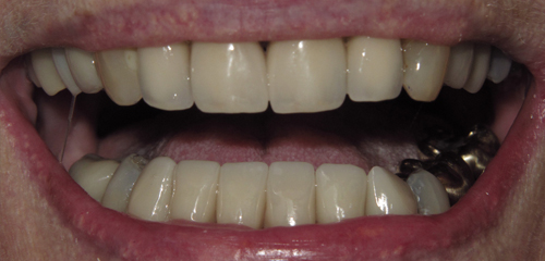
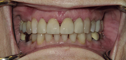
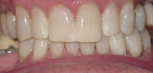
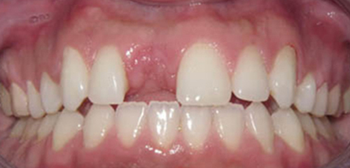
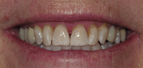
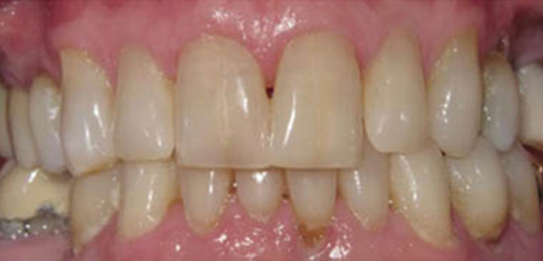
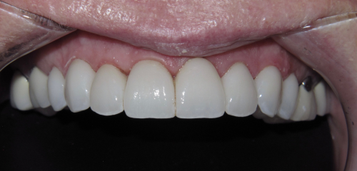
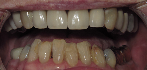
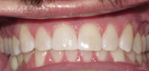
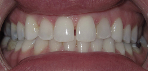
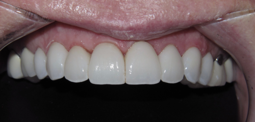
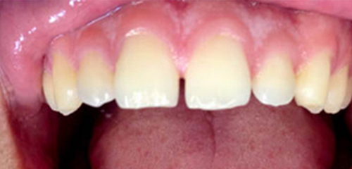
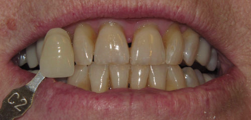
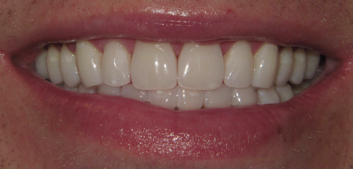
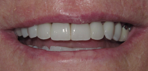
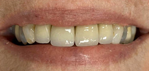
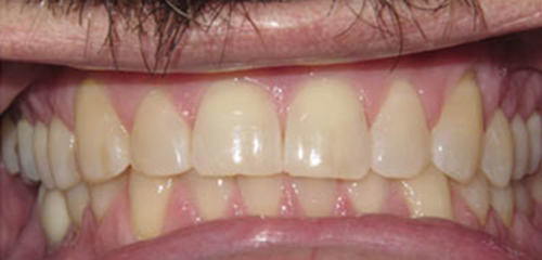
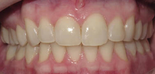
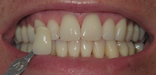
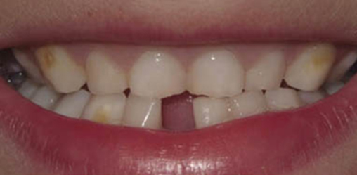
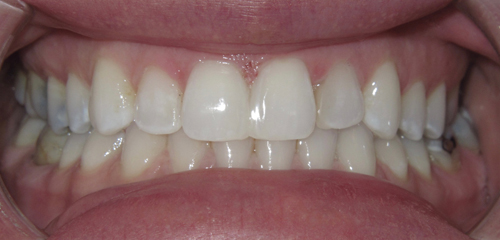
Curious to see what Luker Dental can do for you? Look no further! Our smile gallery features real-life before and after photos of our patients. To view a comparison, just hover over the center icon. Slide to the right to see the before photo, and slide to the left to witness the remarkable results.
Bonding & Crowns
Dental Fillings
Implants

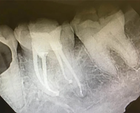
Root Canals


