Pay Online
Experiencing a Dental Emergency? Call Us: (970) 351-0400
Luker Dental offers same-day emergency appointments.


Welcome to Luker Dental of Greeley, CO!
Thank you for choosing Luker Dental--we're looking forward your visit! Providing the best, tailored care is important to us. At your first visit we'll take time to learn about you and your needs and expectations. We'll make sure your experience is comfortable, educational, and effective!
Learn more







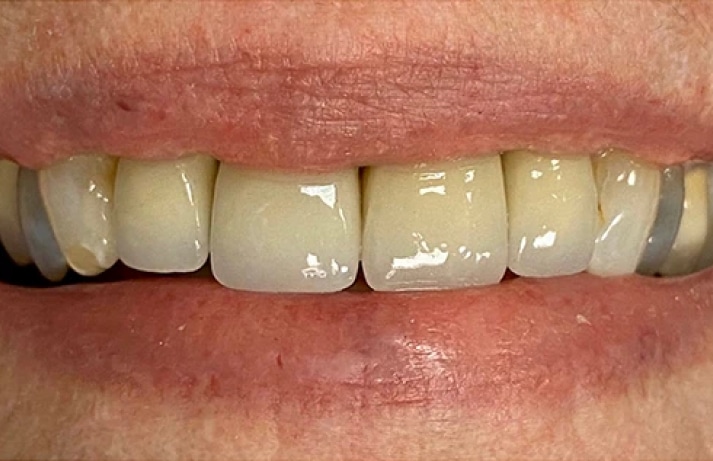
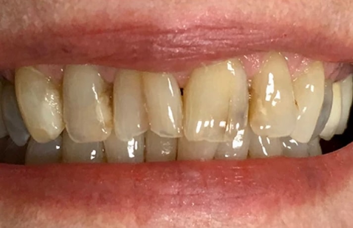
We Have The Treatment For You
We provide a one-stop destination for complete dental care services. Luker dental offers everything from preventive care, restorative dentistry, pediatric care, orthodontics, and emergency treatments to cosmetic dentistry and much more.
THE DENTIST
MEET THE GREELEY DENTIST
Dr. David Luker
I received my Bachelor’s degree in Public Relations from Brigham Young University in 2008 and graduated from the University of Southern California School of Dentistry in 2014. For four years I was blessed to serve our nation’s soldiers as a Dentist in the US Army. I constantly work to better serve my patients by expanding my skillsets and pursuing continuing education. I take great pride in my work and honestly love what I do.
I am happily married and my wife and I have five beautiful energetic children. For me, family time is the best time.
View His Bio
Come See What We're All About!
FRIENDLY TEAM
Our Team Is Here For You
Our friendly team makes every dental visit both easy and educational. You can always count on clear explanations of your treatment plan, easy-to-follow oral health care tips, and expert guidance from Dr. Luker!
Book An Appointment



















